Pierwsza na Pomorzu, trzecia w Polsce! Za nami przełomowa operacja kardiochirurgiczna

piątek, 11 kwietnia 2025
img

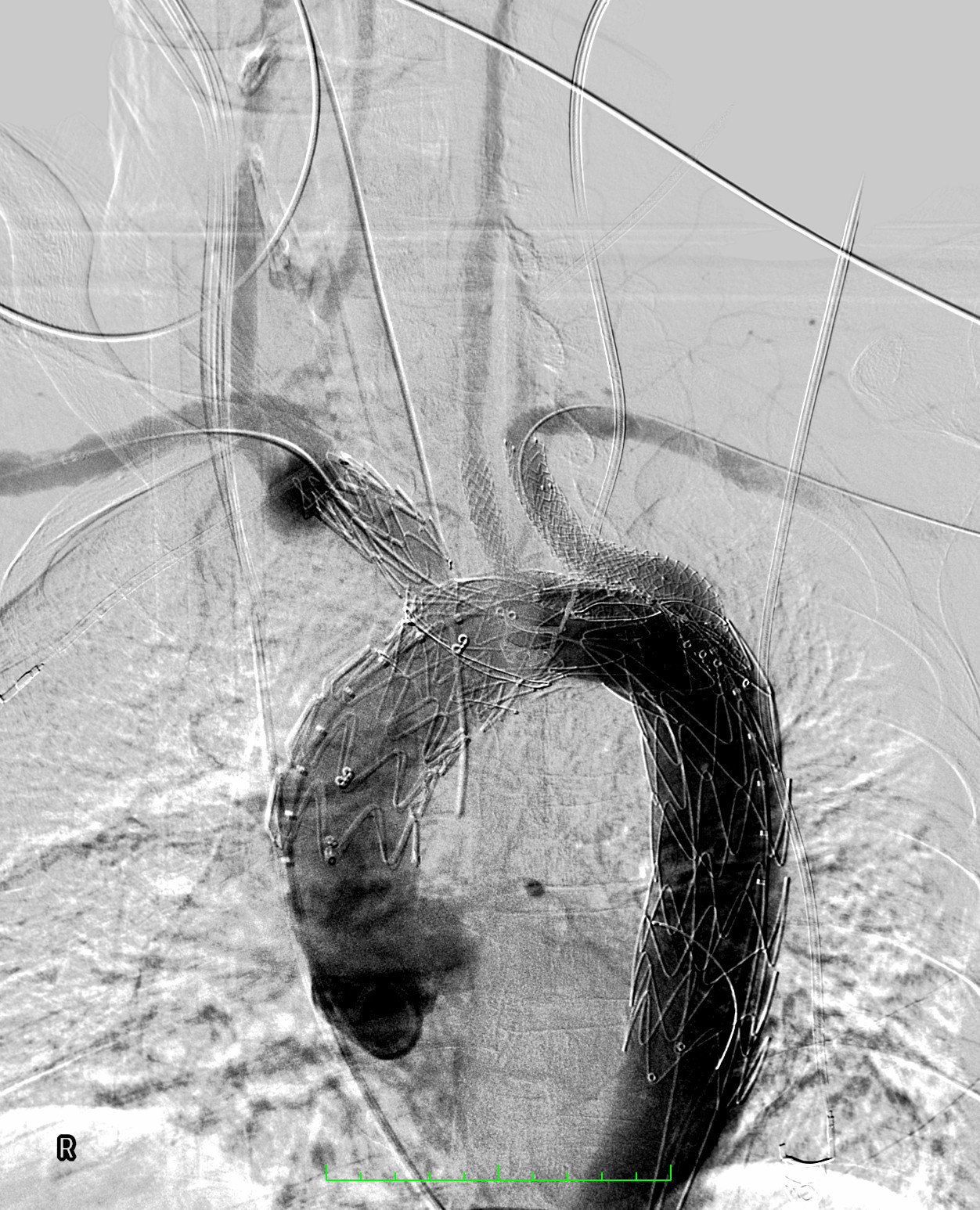
Pod koniec marca br. wykonano pierwszą w województwie pomorskim i trzecią w Polsce operację patologii łuku aorty systemem NEXUS TRE. Dzięki takiej procedurze udało się choremu uniknąć rozległej operacji kardiochirurgicznej z otwarciem klatki piersiowej oraz krążeniem pozaustrojowym.

  Zespół chirurgów naczyniowych „Szpitali Pomorskich” rozpoczął w 2023 r. zabiegi endowaskularne w obrębie łuku aorty, dołączając tym samym do elitarnych oddziałów w Polsce. Obecnie ma na koncie liczne, wykonane z powodzeniem zabiegi.  

[galeria]

Zabieg był dodatkowo wyjątkowy, gdyż chory obarczony jest niedrożnością obu tętnice szyjnych, odpowiedzialnych za dostarczanie krwi do mózgu. Czas zabiegu oraz zaangażowanie anestezjologa dr Pawła Dutki miał tu decydujące znaczenie — mówi doktor Ryszard Zając, ordynator Oddziału Chirurgii Naczyniowej Szpitala św. Wincentego a Paulo w Gdyni

  Udaną operację przeprowadzono ze wsparciem specjalisty klinicznego, doktora Alana Abilio, który przyjechał z Brazylii. Chory bez powikłań udał się w piątej dobie do domu.

Byliście świadkami zdarzenia w naszym regionie? Chcecie aby nasza redakcja zajęła się jakimś tematem? Czekamy na Wasze sygnały i informacje. Można kontaktować się z naszą redakcją za pośrednictwem strony facebookowej i mailowo: [email protected]. Dyżurujemy także pod numerem telefonu 729 715 670.

Byliście świadkami zdarzenia w naszym regionie? Chcecie aby nasza redakcja zajęła się jakimś tematem? Czekamy na Wasze sygnały i informacje. Można kontaktować się z naszą redakcją za pośrednictwem strony facebookowej i mailowo: [email protected] Dyżurujemy także pod numerem telefonu 729 715 670.

Wiadomości

Zakłady bukmacherskie na Mundial 2026 – co warto wiedzieć przed startem turnieju?
Materiał partnera
poniedziałek, 18 maja 2026

Zakłady bukmacherskie na Mundial 2026 – co warto wiedzieć przed startem turnieju?

Uczniowie przeciw przemocy. Młodzi artyści promują empatię i szacunek
poniedziałek, 18 maja 2026

Uczniowie przeciw przemocy. Młodzi artyści promują empatię i szacunek

"To miejsce nasiąknięte historią, emocjami ludzi i ich tęsknotą za bliskimi"
Nowe
poniedziałek, 18 maja 2026

"To miejsce nasiąknięte historią, emocjami ludzi i ich tęsknotą za bliskimi"

Ukrywał się w pustostanie, został wydalony z Polski
poniedziałek, 18 maja 2026

Ukrywał się w pustostanie, został wydalony z Polski

150 lat latarni morskiej
poniedziałek, 18 maja 2026

150 lat latarni morskiej

Ogłosili przetarg na dokończenie Centrum Nowoczesnego Seniora
Nowe
poniedziałek, 18 maja 2026 1

Ogłosili przetarg na dokończenie Centrum Nowoczesnego Seniora

Hej na ludowo! Noc Muzeów pełna tradycji i kultury
poniedziałek, 18 maja 2026

Hej na ludowo! Noc Muzeów pełna tradycji i kultury

Trwa modernizacja drogi nad morze. Zakończenie jeszcze przed sezonem
poniedziałek, 18 maja 2026

Trwa modernizacja drogi nad morze. Zakończenie jeszcze przed sezonem

Nietrzeźwi kierowcy, narkotyki i łamanie zakazów
poniedziałek, 18 maja 2026

Nietrzeźwi kierowcy, narkotyki i łamanie zakazów

Gospodarze Mundialu 2026 – co czeka nas w Kanadzie, Meksyku i USA?
Materiał partnera
poniedziałek, 18 maja 2026

Gospodarze Mundialu 2026 – co czeka nas w Kanadzie, Meksyku i USA?

Nasze kamery