24.12.2016 14:00 0 Redakcja

Helskie foki spodziewają się potomstwa

Źródło: facebook.com/Fokarium

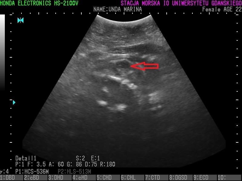
Wszystkie helskie foki - czyli Agata, Ewa, Unda Marina i Ania - są w ciąży. To wyniki badań ultrasonograficznych, które przeprowadzono w miniony piątek (23 grudnia).

W tym tygodniu do użytku został oddany najgłębszy z basenów hodowlanych, dzięki czemu zwierzęta mogą już swobodnie bawić się i nurkować, a ich opiekunowie mogli przeprowadzić badania USG w dogodnym dla wszystkich miejscu.

  • Z radością więc informujemy, że tego roku wszystkie nasze cztery samice spodziewają się potomstwa - czytamy na profilu Fokarium.

Źródło: facebook.com/Fokarium Źródło: facebook.com/Fokarium Źródło: facebook.com/Fokarium Źródło: facebook.com/Fokarium Źródło: facebook.com/Fokarium

Ciąża u foki trwa 11,5 miesiąca, zawsze jest pojedyncza. Po przyjściu na świat młode są przysposabiane do życia w warunkach naturalnych i wypuszczane do morza. Najpierw jednak są wyposażane w specjalne nadajniki, dzięki którym badacze będą mogli śledzić ich wędrówkę po rozpoczęciu życia w pojedynkę.

Szczenięta urodzą się najprawdopodobniej w marcu 2017 roku.


Czytaj również:

Trwa Wczytywanie...